近日,徐州市第一人民医院心胸外科、急诊医学科、影像科、消化内科、内镜中心、麻醉科、耳鼻咽喉科等多学科联合,为患者王女士(化名)微创取出一枚卡在食管内的长3.4cm的梭形锐利骨片。


从食管取出的骨片异物长3.4cm,
呈细长梭形,两端尖锐,边缘锋利。
罕见异物,多学科会诊初定方案
王女士3天前因误食“排骨”后出现胸痛、吞咽困难,至当地医院就诊,胸部CT示食管异物,建议转诊上级医院。“看到CT报告的时候,我心里咯噔一下:骨片呈梭形,嵌顿在食管第二个狭窄处,左右都是重要组织器官,这绝对是一块难“啃”的骨头!”急诊科当天接诊的主治医生王超回忆道,他迅速联系消化、心胸外等科室会诊。“从安全角度看,用胃镜取,患者风险较大。异物两端尖锐,边缘锋利,紧贴主动脉和奇静脉,取时极易损伤血管发生大出血。且患者局部食管壁炎症、水肿明显,病史已经超过24小时,不排除穿孔可能。在推送胃镜和钳取异物时,可能引起纵膈气肿和骨片对食管壁的二次损伤。”鉴于患者病情复杂,消化内科值班的姚萍主任医师立即将患者病情汇报给上级医生和科内的技术专家组,副院长、消化科学科带头人陈光侠迅速组织全体专家线上会诊,共同讨论并给出建议。家属又拿着片子到其他几家大医院问诊,结果均是:内镜取风险太大,建议开胸手术。



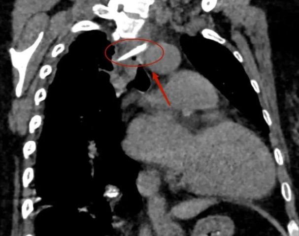
影像学上,
骨片异物两端紧贴主动脉和奇静脉。
当天行政值班的医务处副处长李磊得知情况,立即联系医疗总值班、影像科主任曹伟前来会诊。梭形长条骨片,边缘锋利,一端紧贴主动脉弓,一端顶着奇静脉,靠近奇静脉端的肺表面已经有些渗出,曹伟心里一沉。作为临床治疗的“眼睛”,影像诊断常被称为临床手术的“路标”,为了给临床提供更准确、直观的数据,曹伟对图像进行三维重建,将骨片的体积、长度、角度及骨片与周围组织的空间关系重新构建,这也为下一步治疗方案提供了依据。经过会诊后达成初步意见,患者收入心胸外科,在完善开胸手术准备的保驾下全麻内镜取异物。
慎之又慎,多学科联合再商良策
“医生治病就像背患者过河,面对湍急的河水,双方都需要承担风险,但为了患者的安危,医生往往会将更大的风险扛在自己肩上。”心胸外科主任韩冬说,尽管做好了开胸的准备,但还是想为患者争取微创治疗的机会。消化内科学科带头人陈光侠牵头,召集心胸外科主任韩冬、影像科主任曹伟、耳鼻咽喉科副主任王浩、麻醉科主任医师田云平等专家,为患者进行了第二次多学科会诊。经过反复商讨研判,最后拟定手术方案:在全麻下行硬质食道镜异物取出术(备急诊开胸止血及食管切除术)。“虽然风险很大,但我们会尽最大的努力,做最坏的打算,做最充足的准备。我们拟定了三套应急方案,消化内镜方案、紧急开胸止血和胸腹腔镜联合微创食管切除手术。如果用硬质食管镜取暴露不充分,我们就先请消化内科陈院长用软质胃镜协助钳取。”韩冬介绍说,“虽然影像学上没有明显的血管破裂出血征象,但并不意味着主动脉没有损伤,这就相当于一把刀插在塑料水管上,一旦把刀拔出来,水就会喷溅而出。另外,因骨片尖锐,在取的过程中也很有可能会损伤左侧的主动脉以及右侧的奇静脉弓,这两种情况的出血都很凶险。所以一旦发生,我们做好了立即开胸止血的准备。还有一种情况是如果异物嵌顿无法取出,必须进行食管切除手术,我们会启动第三套方案——胸腹腔镜联合微创食管切除手术,以最小的创伤让患者尽快康复。”

术前,心胸外科韩冬主任团队床边查房,
为手术方案做准备。
术中相关科室团队、专家都严阵以待,准备随时处理突发情况。消化科副主任刘世育做好一切准备,一旦有需要,随时加入抢救队伍;手术室专门安排了护理骨干周慧、王楠配合手术;消化内镜中心护士长曹琳琳选派技术骨干张彪全力配合,并调配了科内最先进的内镜系统送到手术室。“我们同时备好了胃镜、食道镜和开胸、血管吻合、胸腔镜所需的各类器械用物。生命面前,每项工作都必须万无一失。”手术室副护士长杨中影说。
如履薄冰, 为患者甘愿刀尖行走
“有了心胸外科做后盾,我心里略微踏实一些,但手术过程却如履薄冰。”负责食管镜手术的耳鼻咽喉科副主任王浩坦言道,“这个手术给我的感觉就像汽车在峡谷间没有护栏的窄桥上调头一样,左边是万丈深渊,右边是深渊万丈,必须极其小心,稍有不慎,患者都会面临巨大的风险。”


术中,耳鼻咽喉科副主任王浩团队取异物中。
麻醉后,王浩一边进镜,一边仔细地检查。在距离门齿22cm处发现食管内黏膜有肿胀、淤血,在23cm处锁定“元凶”——一根梭形的骨片出现在视野中。王浩立刻用鳄鱼嘴钳夹住骨片。“为了避免在取异物过程中加重或误伤主动脉,我先从近主动脉的一端着手,轻轻移动骨片尖端,判断是否已伤及主动脉,观察后没看到大量血液涌出,心稍稍放下一点,说明目前为止,没有明显主动脉全层损伤。我就钳夹骨片一边微微后退一边调整角度。经过多次细微调整,骨片纵轴渐平行于食管,骨片另一端对组织的压力也得到彻底缓解,距胜利又近了一步!”王浩心里更有了底气。他将调整后的骨片退到食道镜腔里,彻底消除骨片对食管黏膜的威胁,通过食道镜顺利将骨片取出。成功了!看到异物的一刻,大家的心都放了下来并且惊呼好悬!“手术到此并没有结束,我们取完异物一定要再次检查,查看有无残留异物,还要检查食管黏膜的损伤情况,为下一步治疗提供依据。”最后,王浩为患者置入胃管,退出食管镜,手术结束。全程用时不足10分钟!
风险叠加,改善氧合全程保平安
“从麻醉的角度来说,这位患者风险很大。”忙碌一夜的麻醉科主任医师田云平清楚地记得这名患者,“首先,异物贴近主动脉,一旦血管破损,则危及生命;其次,这是个新冠病毒感染合并肺炎的患者,从影像学上可以看到,患者两肺多发条索状、片絮状高密度影及磨玻璃样密度影,听诊两肺痰鸣音明显,这对于全麻插管来说风险很大。麻醉期间,患者气道压一直很高,气道大量分泌物,影响氧合,因此术中我们不间断地吸痰,改善患者的氧合状态。”

麻醉医生田云平主任医师
和施文雅主治医师为患者麻醉中
术后,田云平和他的团队对患者充分复苏,直到氧合明显改善、肌力恢复正常、患者完全清醒后才拔除气管导管,将患者安全送回病房。为了应对术中意外情况发生,田云平带领团队中的卢思宇副主任医师和施文雅主治医师,从人力物力上做好了随时开胸抢救和腔镜手术切除的麻醉准备。

术后,韩冬主任、严文俊副主任医师
在患者床边查房。
患者目前状态良好,复查CT未发现出血、纵膈气肿等并发症。“我们现在的治疗方案是抗感染、营养支持、促进食管伤口愈合。考虑到患者的营养需求,术后第二天,在禁食、胃肠减压同时,我们为患者放置了十二指肠营养管,对患者早期开展肠内营养,满足机体代谢所需。”床位医生严文俊副主任医师说。
“医学专科的发展不是在本专业、本领域孤立地诊疗病人,而是在坚持人的整体性前提下,大家综合各专业领域中最好的方法、最优的技术,为患者制定最佳的诊疗方案,实现风险最小化、获益最大化,努力让患者所有问题一站式解决。”副院长陈光侠介绍道,“目前我们医院的多学科诊疗(MDT)常态化开展,许多像王女士一样的患者已从中受益。”
苏公网安备32031102000718号