难治性类风湿关节炎,因多发性关节破坏持续进展,且病情反复发作,严重影响患者的生活质量,让许多患者深陷痛苦。

近日,徐州市第一人民医院风湿免疫科凭借精准靶向诊治方案,成功帮助一位饱受难治性类风湿关节炎折磨7年的患者重获生活自理能力,恢复正常工作。
01七年病痛折磨,患者苦不堪言
江某(化名)是一位40岁出头的中年妇女,罹患类风湿关节炎疾病7年。早期仅有手部小关节的疼痛,在当地医院抗炎止痛治疗能改善,但近两年,病情逐步加重,手关节、肘关节活动受限,逐步畸形强直。雪上加霜的是双膝关节近期也受到了累及,她辗转多家大医院,应用了多种抗风湿药物,病情始终不见好转,行动愈发困难,不仅影响了工作,连简单的生活自理都成了一种奢望。
后来,一位病友分享了自己的就医经历:他也曾因类风湿关节炎拄双拐,在徐州一院风湿免疫科规范治疗后,目前已脱离拐杖,生活恢复自理。江某听了以后,犹如在黑夜中看到了指引健康方向的明灯,决定来徐州一院就诊。
02明确诊断,制定精准靶向诊治方案
入院后完善检查发现,患者类风湿因子669IU/ml、抗环瓜氨酸多肽抗体>200U/ml。类风湿关节炎疾病DAS28活动评分5.2分,处于高度活动状态。鉴于患者此前就诊过多家三甲医院,历经多种药物治疗却效果不佳,风湿免疫科组织了疑难病例讨论。经过充分病情讨论,专家们一致认为,要想改善江某的病情,需要给予精准靶向诊治方案:关节超声评估+精准靶向穿刺+专业病理诊断及规范评分+精准靶向给药。
步骤一、关节超声评估:
右膝关节髌上囊及内、外侧隐窝液性暗区,较深处约22cm,内部透声差。右膝关节可见滑膜增厚,较厚处约7.3mm,CDFI:内示少许血流信号。

步骤二、精准靶向穿刺,超声引导下微创取滑膜:
风湿免疫科主任任义乐和副主任医师于佳妮密切配合,在超声引导下,利用微创滑膜切割器,切取滑膜病变组织,留取病理化验。整个操作过程干净利落,仅用15分钟,无出血,术后无任何操作相关的不适。


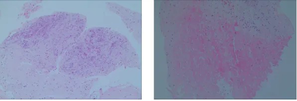
步骤三、专业病理诊断,规范判读评分:
病理科主任高立永非常重视风湿免疫科这一新技术,带领团队给予临床大力支持,24小时后做出了精准的病理诊断:(膝关节滑膜)镜下滑膜组织表面滑膜细胞可见,基质内部分淋巴细胞,浆细胞偶见,血管增生扩张充血,符合炎性关节炎。

据任义乐介绍,国际最新病理研究进展提示,类风湿关节炎滑膜病理一般分为3类:寡免疫型、弥漫髓系型、淋巴髓系型。寡免疫型病理特征是滑膜炎症细胞浸润较少,免疫细胞浸润不显著;弥漫髓系型病理特征是滑膜炎症细胞广泛浸润,但缺乏明显的淋巴滤泡样结构;淋巴髓系型病理特征是滑膜组织中出现类似淋巴结的生发中心结构,这些结构由B细胞和T细胞组成。
任义乐和高立永根据患者临床表现和滑膜炎症细胞浸润较少的滑膜病理特点,共同判断江某滑膜病理类型为寡免疫型。
步骤四:关节局部注射,精准靶向给药,多种手段联合显奇效:
患者病程7年,多关节受累,膝关节受累最为严重,已影响行走。任义乐根据患者临床表现,结合滑膜病理特点,制定了关节腔局部靶向给药、中药热奄包外敷、威伐光照射和口服给药的综合方案。
首先在超声引导下,先抽取关节腔炎性关节液,再给予关节腔炎性部位注射药物,抑制滑膜和血管翳增生。

在此基础上,应用中药热奄包外敷、威伐光照射,不仅能够改善局部微循环,还有助于抑制局部炎症。患者膝关节病变严重,膝关节局部治疗是重点环节,但要注意到类风湿关节炎是全身性疾病,需要口服药物维持基础治疗,抑制全身异常免疫反应。
经上述方案治疗1周,患者症状明显改善。出院后口服药物维持治疗,1月后随访,患者生活自理,能正常工作。她激动地表示:“自己患病7年来,这是第一次在住院过程中和出院后未使用激素的情况下,获得的最好治疗效果,非常感谢徐州一院风湿免疫科采取的创新诊治方案。”


近年来,徐州一院风湿免疫科不断引进新技术,创新和优化诊疗方法,以更加精湛的医术、更加优质、精准的医疗服务,为患者的健康保驾护航。
难治性类风湿关节炎
定义:难治性类风湿关节炎是指经过规范治疗后,病情仍难以控制、持续活动或关节破坏进展的类风湿关节炎。
诊断标准:(1)欧洲标准(EULAR):需同时满足以下条件:①治疗失败历史:传统合成慢作用抗风湿药(DMARDs)治疗失败后,使用≥2种不同作用机制的生物制剂/靶向合成DMARDs治疗失败。②疾病活动特征:如DAS28-ESR>3.2、关节肿痛、无法减量糖皮质激素(泼尼松≤7.5mg/d)、影像学快速进展等。③临床管理困难:医患双方均认为疾病控制困难。(2)中国标准:经2种传统DMARD联合1种生物制剂或靶向药治疗超3-6个月疗效欠佳,且DAS28-ESR>5.1,无法将糖皮质激素减量至<10mg/d(泼尼松)。
风湿免疫科风湿肌骨疾病诊疗专家团队

任义乐
风湿免疫科主任
副主任医师、医学博士、硕士研究生导师
中国研究型医院学会肌骨及浅表超声专业委员会常务委员
中国生物医学工程学会免疫治疗工程分会风湿免疫专业委员会委员
江苏省免疫学会自身免疫专业委员会副主任委员
江苏省医学会风湿病学分会委员
从事风湿免疫专业临床与科研工作10余年,发表专业论文10余篇,擅长风湿免疫疑难危重病的诊治及肌肉骨骼疾病的超声介入治疗。
专家门诊时间:周一、周三全天

张宝国
副主任医师
中国中医药研究促进会免疫疾病分会委员
徐州市中西医结合学会风湿病分会副主任委员
徐州市医学会风湿病学专业委员会委员
擅长:类风湿关节炎、强直性脊柱炎、干燥综合征、红斑狼疮、骨关节炎、干眼症、口干症等风湿免疫病诊治及针刀微创介入治疗颈椎病,腰椎病,强直性脊柱炎等风湿骨病。
专家门诊时间:周二全天

于佳妮
副主任医师
江苏省免疫学会自身免疫专委会委员
从事风湿免疫科工作10余年,先后在南京鼓楼医院、山东省立医院进修,擅长超声引导下关节腔注射治疗、关节滑膜穿刺活检等技术,以主要完成人参与市课题2 项,获得市新技术引进奖二等奖一项、三等奖一项,发表中文核心论文及sci文章多篇。
专家门诊时间:周五全天
供稿 | 风湿免疫科
苏公网安备32031102000718号