咨询服务热线: 0516-962011
预约挂号 就诊流程
门诊时间:上午 8:00-12:00 下午 13:30-16:30 周六、日照常
新闻中心

医路领先 | 二次手术+巨大筛窦骨瘤!看徐州一院鼻科专家王浩团队如何“啃”下这块硬骨头!

  导 读

  十年鼻塞流脓,七旬老人苦不堪言;二次手术风险重重,巨大筛窦骨瘤紧贴眼眶和大脑。面对挑战,徐州市第一人民医院(以下简称“徐州一院”)耳鼻咽喉科王浩团队迎难而上,在方寸之间完成了一场惊心动魄的“拆弹”行动。

  “这种情况得有10年了”

  “左侧鼻子常年不通气,流不完的脓鼻涕,还带着一股难闻的味道。嗅觉也在减退,吃饭也不觉得香,眼眶周围胀痛不适,时常还会感到头痛、头晕,要是遇上感冒就更难受了。”当医生问及病情时,74岁的张大爷(化名)苦笑着说,“年纪大了,本不打算再手术,想着忍忍就过去了。”

  这一忍,就是十年。

  其实,十多年前张大爷因为同样的毛病——双侧鼻腔鼻窦炎鼻息肉,做过一次手术。当时效果还不错,他以为从此一劳永逸了。没想到,病魔又卷土而来,而且愈发严重。

  “不能再拖了。”张大爷下定决心,到徐州一院耳鼻咽喉科找专家看看。

  检查结果一出,医生也皱起了眉头

  接诊的是徐州一院耳鼻咽喉科副主任、鼻科专家王浩。

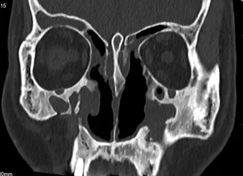
  听完病史,王浩心里已经有数。但当他看完影像学检查结果,表情变得凝重起来。张大爷的情况远比普通鼻窦炎复杂得多:双鼻甲肥大,鼻中隔偏曲、鼻道里长满息肉样新生物。最棘手的是左筛窦发现一个巨大占位——高度怀疑是骨瘤,大小约3×4厘米。

  术前

  “骨瘤本身多为良性,但长在这个位置,就成了一个‘定时炸弹’。”王浩指着影像片子,向患者解释。

  筛窦,是鼻腔深处一个结构极其复杂的区域。它的上方是颅底,隔着一层薄薄的骨头就是大脑;外侧是眼眶,视神经、筛前动脉等重要结构都在这里穿行。张大爷的这颗骨瘤,恰恰嵌合在眶内壁上,紧贴着这些要害部位。

  如果不手术,骨瘤继续长大,压迫视神经可能导致失明,侵蚀骨壁、压迫颅脑组织可能引发更严重的后果;如果手术,筛窦区域解剖复杂,被称为“耳鼻咽喉科手术的珠穆朗玛峰”,稍有不慎,就会因伤及周围血管、神经、脑膜等出现大出血、视力减退甚至失明、脑脊液漏、颅内感染等严重并发症。

  更何况,这还是一台二次手术!

  初次手术后张大爷的鼻腔内部解剖结构已发生明显改变,再次手术对术者的空间想象能力、手术技术与风险应对经验都提出了极高的要求,每一步操作都如履薄冰。

  还有一个绕不开的风险:患者年逾七旬,20年的帕金森病史及用药史,心肺功能、血管弹性都有所减退。手术中既需要控制性降压来减少出血,又要保证大脑等重要器官的供血,这个平衡极难拿捏。

  所有这些加在一起,使手术难度陡增!

  “这台手术,我们做”

  面对如此巨大的风险和挑战,有人或许犹豫,有人或许婉拒,亦或建议转院。但王浩团队没有退缩。

  “这台手术,我们做。”王浩拍板决定。

  随即,一场多学科联合讨论紧锣密鼓地展开。耳鼻咽喉科、麻醉科、医学影像科等医护专家坐在一起,反复研读影像资料,模拟手术路径,预判每一个可能出现的风险,制定了详尽的微创鼻内镜手术方案和应急预案。

  同时,王浩团队与患者及家属进行了充分、坦诚的沟通,将手术的风险、难度、手术方案和应对策略一一告知。患者及家人被专家团队的真诚和专业打动,给予了充分的信任:“王主任,我们相信您!拜托了!”

  这份信任,也给了医者迎难而上的勇气与动力。

  无影灯下的两小时,步步惊心

  一切准备就绪,无影灯亮起,所有人各司其职。

  面罩给氧、药物诱导、气道建立....在麻醉专家、主任医师谢文静博士的指导下,麻醉科副主任医师王冠男、主治医师闫龙剑默契配合,严密监测生命体征的变化,熟练地进行控制性降压,并根据手术步骤动态调整麻醉深度,全程为患者安全及手术实施保驾护航。

  勾颖、张海婷两位手术室护理骨干有条不紊、配合默契,根据手术进度提前备好各项用物,精准传递器械、做好术中护理。

  鼻科专家王浩站在患者头端,一手持内镜,一手握精细的手术器械,双眼紧盯显示屏,小心翼翼地将纤细的鼻内镜缓缓置入。作为其左右手的团队核心成员,主治医师李宁紧随手术路径,默契地做好视野暴露、器械传递与协同操作等手术配合。

  内镜下,术野的情况比预想的还要复杂。

  鼻腔内息肉增生严重,脓性分泌物附着,视野并不理想。初次手术带来的疤痕增生让正常的解剖层次无从辨析。王浩屏住呼吸,凭借对筛窦区域解剖结构的深刻理解,像一位在迷雾中航行的舵手,小心翼翼地分离瘢痕组织,一步步接近目标。

  息肉切除、鼻窦开放、清除窦腔脓性分泌物……每一步都如临深渊,每一个动作却都精准到位。

  真正的考验来了。

  那个巨大的筛窦骨瘤出现在视野中。它呈灰白色,质地坚硬,像一块顽石死死嵌在眶内壁上,与周围组织紧密粘连。妥妥的一块“硬骨头”!

  再难也要啃下来!

  遇山开路,遇水架桥。王浩操控着精细的显微器械,从骨瘤与正常骨壁之间那条几不可见的微小缝隙入手,一点一点地松解、磨除。时间一分一秒地流逝,但王浩的手始终稳如磐石。他深知,是重获新生,还是面临失明、脑脊液漏等严重并发症——自己的每一个动作都关乎着患者的未来。

  手术取出的筛窦骨瘤

  经过两个小时惊心动魄的精细操作,手术结束,那颗3×4厘米的巨大骨瘤也被完整取出!

  未发生脑脊液漏,没有大出血,视神经和筛前动脉等重要组织均保护完好。

  “干得漂亮!”手术室里,所有人都在心里默默喝彩。

  术后

  术后,张大爷被安全送回病房。在医护团队的精心治疗和护理下顺利恢复,术前那些困扰他十年的鼻塞、流脓涕、头痛头晕、眶周胀痛不适等症状得到了显著改善,精神状态一天比一天好,脸上重新绽放出笑容。

  医者仁心,从来不是一句空话

  这台手术的成功,绝非偶然。它是徐州一院耳鼻咽喉科整体诊疗实力的集中体现,更是以副主任王浩为代表的鼻科团队“敢啃硬骨头、勇攀新高峰”职业精神的真实写照。他们敢于挑战高难度微创手术,凭借的是对患者深切的关怀和高度的责任感、凭借的是对人体解剖结构的精熟于心与手术操作的毫厘把控、凭借的是对微创技术的极致追求、更凭借的是整个医院多学科团队的默契配合与强大的综合救治能力!而王浩本人新近获聘“江苏省耳鼻喉科专业质控中心专家委员会委员”,正是其深厚专业功底与行业影响力的最佳注脚。

  王浩常说:“医生的每一次‘冒险’,背后都应该是科学的决策和充分的准备。只要对患者有利,只要有一线希望,我们就要付出百分之百的努力。”正是这种“以患者为中心”,甘冒风险、技术精湛、精益求精的工匠精神,让徐州一院耳鼻咽喉科不断攀登医学高峰,为区域广大百姓带来了更高水平、更高质量的医疗服务。

  如今,张大爷已经康复出院,带着对未来的希望和对医护人员的感激。而王浩和他的团队,早已转身投入到下一场与病魔的战斗中。他们继续用仁心与妙手,在一个又一个看似不可能的挑战中,创造着新的诊疗奇迹。

  相关链接:

  医疗资讯 | 家门口看名医!睢宁87岁老人手写感谢信点赞徐州一院王浩主任专家团队工作室

  精准战窦 徐淮镜技|徐州一院王浩教授团队与湘雅医院蒋卫红教授团队联袂演绎高难度鼻内镜手术全球直播

  前沿医讯丨直播手术后康复的他,专程向徐州一院鼻科专家王浩教授团队致谢

  6岁女童眼肿如乒乓球,竟是鼻子惹的祸!徐州一院耳鼻咽喉科专家提醒:别轻视鼻窦炎,尤其是儿童

  医疗动态 | 精准治疗“跨界”鼻窦软骨肉瘤——徐州一院多学科协作助患者重见光明

  出 镜 专 家

  王浩

  主任医师,鼻科亚专业组组长

  眼防所党总支第三党支部书记

  徐州一院耳鼻咽喉科副主任

  专业方向:

  鼻内窥镜及鼾症、头颈肿瘤等手术治疗。

  学术任职:

  全国耳内镜外科技术规范化培训协作组成员

  江苏省医学会第十一届耳鼻咽喉-头颈外科学分会委员会委员

  江苏省医学会听力学分会第二届委员会委员

  江苏省医学会耳鼻咽喉分会鼻科学组委员

  省研究型医院学会耳鼻咽喉内镜专委会委员

  江苏省中西医结合学会耳鼻咽喉专业委员会委员

  中国抗癌协会康复学会江苏省头颈肿瘤专家委员会委员

  江苏省耳鼻咽喉科专业质控中心专家委员会委员

  徐州医学会耳鼻咽喉科分会副主任委员

  徐州市医学会第一届听力学专委会副主任委员

  徐州市耳鼻喉专业质量控制中心专家委员会副主任

  徐州市医疗事故鉴定委员会专家库成员

  徐州市残联听力残疾评定专家

  意大利那不勒斯 Antonio Cardarelli省院及M0ALDI医院访问学者

  专家门诊时间:

  每周五全天

  专家门诊地址:

  门诊楼(3号楼)3层 南区东侧 耳鼻咽喉科诊区

预约挂号
就诊流程
交通指南
微信服务
返回顶部