咨询服务热线: 0516-962011
预约挂号 就诊流程
门诊时间:上午 8:00-12:00 下午 13:30-16:30 周六、日照常
新闻中心

生死营救 | 他的心脏随时会停!——徐州一院薛松教授团队一台急诊不停跳搭桥为他“抢”回一颗心

  70岁的李先生(化名),冠脉三支+左主干重度狭窄,心脏随时可能停跳。更凶险的是,他因长期服用双联抗血小板药物,无法立即手术。4月12日,周日,患者病情骤然恶化。贸然开刀,停药不足一周,出血风险极高;继续等待,心源性猝死随时可能发生。面对这台“踩在钢丝上”的急诊手术,徐州一院心脏大血管外科薛松教授团队如何抉择?他们又是如何在心脏不停跳的情况下,为老人成功架起四座“生命之桥”?本文为您还原一场惊心动魄的生死营救。

  凶险!他的心脏随时会停

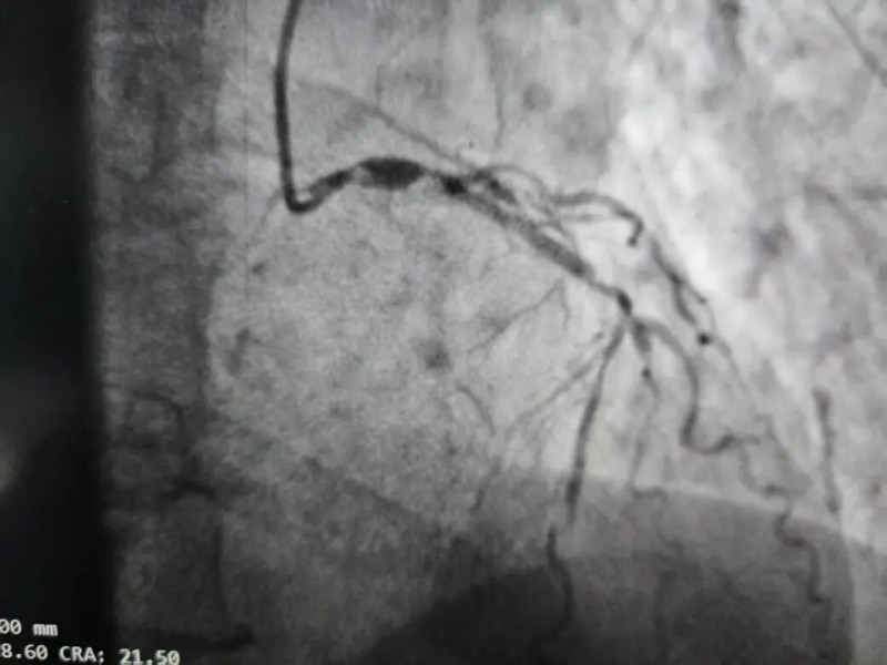
  李先生,70岁,徐州沛县某镇人。胸闷心悸折磨了他整整一年,近两个月更是急剧加重。在两家三甲医院辗转就医后,4月7日的冠脉造影结果让在场的医生倒吸一口凉气——

  右冠状动脉近中段弥漫长病变伴重度钙化,最重处狭窄90%;左主干到左前降支开口狭窄95%伴重度钙化;左回旋支近段闭塞……

  冠脉三支+左主干重度狭窄!

  通俗点说,这位老人心脏上最重要的三条血管和总阀门,几乎全部堵死。他的心脏就像一枚随时可能引爆的“炸弹”,每一次情绪波动、每一次轻微活动,都可能诱发心源性猝死。

  更糟糕的是,李先生还有17年的高血压病史,血压控制极差,17年前还曾患过脑梗死。这样的身体条件,让任何一次心脏事件都可能演变成不可挽回的悲剧。

  必须尽快外科搭桥。
 

  在“家门口”抓住最后一根救命稻草

  慎重起见,家人多方打听最终达成共识——“去徐州一院吧,那里的心脏大血管外科是上海来的薛松教授团队。”

  4月8日,李先生和家人慕名而来。上海仁济医院心血管外科主任、徐州一院心脏大血管外科主任薛松教授,和执行主任单江桂博士及团队骨干充分评估病情后,眉头紧锁——患者病情危重,需尽快畅通冠脉血流,但患者长期口服双联抗血小板药物,如果立即手术,出血风险极大,常规需要停药至少一周。

  但李先生的病情,还能等一周吗?

  团队决定:先对症治疗,完善辅助检查,同时做好急诊手术的一切应对准备。接下来的每一天,医护人员都像排雷一样密切监护着老人的每一个生命体征,随时准备与心源性猝死抢时间。
 

  当兵临城下,唯有一搏

  4月12日,周日。

  薛松教授团队早早查完房,正准备走向手术室——今天有两台心脏择期手术。

  就在这时,病房里传来急促的呼叫:

  李先生突发持续性心绞痛!心电图提示心肌严重缺血!

  休息,不缓解;对症处理,不缓解;

  心源性猝死可能随时发生!

  时间仿佛在这一刻凝固。

  一边是已经安排妥当、患者准备就绪的两台择期手术;另一边是一位停药仅4天、双联抗血小板药物尚未代谢完全、但病情已危急到必须立刻手术的七旬老人。

  而李大爷的病情也让薛松教授面临两难抉择:

  如果再不手术,患者随时可能发生心源性猝死;

  如果立即手术,停药时间不够,出血风险仍然极高,稍有不慎就是致命后果。

  生死关头,生命至上!

  没有犹豫,薛松教授迅速与家属沟通后决定:

  通知手术、麻醉及护理团队立即准备急诊心脏搭桥手术!

  这期间务必密切监护患者病情变化,做好随时抢救准备!

  请输血科火速备好血小板备用!

  同时,薛松教授选择把最大的难度留给自己,把最小的风险留给患者的手术方式——心脏不停跳冠脉搭桥!

  这意味着,团队要在患者心脏跳动的情况下,完成多根精细到毫米级的血管吻合。难度之大,风险之高,业内皆知。

  但薛松教授心里清楚:只有“不停跳”,才能让这位高龄、合并脑梗史、停药不足的老人,术后大出血和二次脑梗的风险降至最低,以最小的创伤获得最大的安全和最快的康复可能。

  这是对技术的极致挑战,更是对医者担当的终极考验。

 

  四座“生命之桥”在跳动的心脏上架起

  通知发出后,徐州一院的多学科团队展现出令人惊叹的协同效率。不到一个小时,所有人员全部就位。手术间迅速腾空,体外循环机 standby,急救设备一字排开,血小板从血库紧急调配到位。没有人抱怨这是一个本该休息的周日,所有人的心中只有一个信念:患者等不起,生命等不起。

  从决策到开刀,仅仅一个多小时。

  手术由薛松教授亲自主刀。无影灯下,老人的心脏呈现在眼前——它艰难地、不规则地跳动着,每一次收缩都像是在竭尽全力地“挣扎”。由于长期缺血,患者心肌呈现出一种暗沉的色泽,仿佛在无声地诉说着它的疲惫与不堪。

  但薛松教授知道,这颗心脏还在坚持,还在等待一线生机。

  心脏不停跳冠脉搭桥,被誉为冠脉外科的“皇冠技术”。在跳动的、充满血液的心脏上完成血管吻合,要求术者手法极稳、极准、极快——每一次心跳都可能让针尖偏离分毫,而分毫之差,就意味着吻合口漏血或桥血管扭曲。

  薛松教授屏住呼吸,手中的缝针如蜻蜓点水般精准起落。第一根血管(左前降支)吻合完毕,血流开通——那块原本黯淡的心肌,瞬间泛起了一抹红润。

  第二根(左回旋支)、第三根(对角支,序贯吻合)、第四根(后降支)……每一根桥血管的接通,都像是在干涸的土地上引来一股清泉。

  当最后一根血管吻合完毕、血流完全开通的那一刻,所有人都清晰地看到——那颗原本暗沉的心脏被鲜亮的红润取代,仿佛一个被从深渊边缘拉回的生命,重新燃起了熊熊的火焰。

  血管通畅度良好,吻合口无出血,桥血流量检测完美!

  “鱼精蛋白中和肝素、引流、关胸。”薛松教授的声音平静而坚定。

  当李先生被平安送返ICU时,已是午后。而薛松教授和他的团队来不及片刻休息,便又换上新的手术衣——那两台原本排在今天的择期手术,还在等着他们
 

  每一台“天花板级”手术背后的团队保障

  术后第三天,李先生已从ICU转入普通病房。他尚不知道,为了抢回他的生命,徐州一院一个高效的多学科团队在那个周日放弃了休息,用一场惊心动魄的接力,跑赢了心源性猝死为他“抢”回了一颗心

  而这,只是徐州一院心脏大血管外科自2023年10月重建,同时成立上海仁济医院心血管外科薛松教授专家工作室以来,常态化开展各类高精尖手术的一个缩影。

  两年多来,在薛松教授的带领下,这个年轻的团队已经开展主动脉夹层(A型、B型)、腹主动脉瘤破裂、不停跳冠脉搭桥、微创心脏瓣膜病等各类心脏大血管“天花板级”手术400余例。徐州一院还专门选育各专业骨干,配套组建了心脏大血管疾病麻醉、手术配合、重症监护医护团队,形成了一条从诊断到手术、从麻醉到监护的完整生命保障链,让越来越多曾经需要辗转北京、上海的患者,在“家门口”就看上了名医,看好了“心”病。

  正如薛松教授常说的那句话:“患者以命相托,我们必当以心相许。”

  这,就是人民至上、生命至上的最生动诠释。

  祝愿患者早日康复!
 

  向当天参与救治的医护团队

  心脏大血管外科手术团队:薛松教授、单江桂 谢波 陈康 梁汉青 袁昊 李瑞

  心脏大血管外科护理团队:彭小丽团队

  麻醉团队:王德领 戴必照 刘备 谢文静 吕游 李春伟

  手术护理团队:李会 公维金 勾颖 张海婷 王雅晴 蔡倩 徐金金 孙文倩 吴晓迪

  ICU医疗团队:王旭东团队

  ICU护理团队:徐彩玲团队

  以及输血科、医学检验科、医学影像科等所有为抢救提供坚强保障的临床医技科室/部门人员表示崇高敬意!



 

  供稿 | 李文锦

预约挂号
就诊流程
交通指南
微信服务
返回顶部