徐州市第一人民医院
咨询服务热线: 0516-962011
预约挂号
就诊流程
门诊时间:上午 8:00-12:00 下午 13:30-16:30 周六、日照常
网站首页
医院概况
医院简介
历史沿革
机构设置
医院动态
新闻中心
通知公告
医院公告
招标采购
招聘招生
院务公开
财务公开
集团之声
就医服务
预约挂号
门诊一览
就诊流程
科室介绍
交通指南
医疗护理
医疗动态
护理动态
科研教学
药物临床试验机构
医学伦理委员会
肿瘤康复基地
远程培训中心
远程会诊中心
科研管理
教学管理
住院医师规范化培训
基地介绍
招生工作
进修指南
数字图书馆
中国知网
万方医学
党建文化
党建工作
学习贯彻党的二十大精神
医院文化
法治建设
尊老敬老爱老
在线办公
医德医风
物资管理
上报事件
OA登录
决策支持
联系我们
医疗护理
当前位置 :
首页
医疗护理
医疗动态
护理动态
来院就诊 / 就医导航
医院简介
就诊流程
预约挂号
门诊一览
科室介绍
名医荟萃
交通指南
联系我们
医疗护理
徐州一院富国街门诊全新CT设备正式投入使用
该设备广泛应用于中枢神经系统、心血管系统、骨关节及肌肉系统、颈部、胸部、腹部、盆腔等部位疾病的诊断。...
医疗动态
2024.03.09
阅读 4860
关爱女性健康——徐州一院富国街门诊开展国际妇女节大型义诊活动
现场专家团队热情地为前来咨询的女性朋友排忧解惑,普及健康知识,发挥专业特长提供疾病诊疗建议。...
医疗动态
2024.03.08
阅读 4221
精雕细琢铸匠心——徐州一院袁洁团队微创耳内镜手术为患者重建声音的桥梁
袁洁带领团队凭借扎实的专业功底和精湛的手术技艺,精雕细琢,精准施术,胆脂瘤切除、鼓室成形、人工听骨植入听力重建、外耳道成形四个手术一气呵成,术后患者恢复良好。...
医疗动态
2024.03.01
阅读 5230
全国爱耳日丨徐州一院耳鼻咽喉科举行健康义诊活动
耳鼻咽喉科主任刘芳芳、副主任宋巍、主任医师袁洁等专家团队在门诊大厅举行健康义诊,为广大市民及患者进行免费的听力检查,给出耳部疾病诊疗建议...
医疗动态
2024.03.01
阅读 4279
国际罕见病日:关注罕见、点亮生命之光,弱有所扶、践行人民至上
欧洲罕见病组织于2008年2月29日发起并组织了第一届国际罕见病日,旨在提高社会公众和政府对罕见病及罕见病群体面临的问题的认知。特意选在2月29日这个四年才有一天的日子,就是为...
医疗动态
2024.02.29
阅读 4699
罕见病究竟离我们有多远?徐州一院神经内科专家韩献军为您科普
罕见病又被称为“孤儿病”,是一类发病率低,涉及神经内科、儿科、肾内科、血液内科、风湿免疫科、内分泌科、生殖医学中心、骨科等多个医学专科的疾病。...
医疗动态
2024.02.29
阅读 4587
2024年徐州卫生健康工作九大重点目标
全市卫生健康工作会议召开。会议全面回顾总结2023年全市卫生健康工作情况,研究部署2024年重点工作任务...
医疗动态
2024.02.29
阅读 4514
公益科普丨关注罕见病 传递爱与温暖
罕见病又被称为“孤儿病”,是一类发病率低、病种繁多、症状严重、检测技术复杂的疾病。多为先天性或者遗传性疾病,50%在新生儿期或儿童期发病。...
医疗动态
2024.02.29
阅读 4867
健康科普丨放射诊疗防护 您了解多少?
徐州一院荣获市级放射诊疗管理规范化建设试点单位称号!...
医疗动态
2024.02.29
阅读 5706
徐州一院消化内科微创治疗为有“痔”之士解决后“股”之忧!
内痔的内镜下硬化和套扎治疗是两种常见的治疗方法,用于缓解内痔引起的症状,如肛门疼痛、出血和瘙痒。这两种治疗方法通常在内窥镜(直肠镜)的直视下进行。...
医疗动态
2024.02.26
阅读 5186
科普时间 | 雪后出行,送你一份“防摔秘籍”
来源:健康中国...
医疗动态
2024.02.23
阅读 4114
每逢佳节胖三斤?减重与代谢疾病门诊专家支招:要迈开腿、管住嘴!
人一年减重范围大约在60斤到80斤比较合理,一年减肥100斤的速度已经超出正常减重范围。短期内极速减重可能导致营养不良、低血糖等情况。 ...
医疗动态
2024.02.23
阅读 4522
科普时间丨胡吃海喝过后该调养肠胃了 推荐四招“食疗方”
多喝水可以加快胃肠道的新陈代谢,减轻大量肉类食物和酒对肝脏的危害。如果嫌白水没有味道,那么喝茶也可以清除胃肠道的油腻,使胃肠道尽快恢复到正常水平。...
医疗动态
2024.02.21
阅读 4290
徐州一院肿瘤内科:肿瘤患者如何正确饮食?
癌症病人普遍食欲不佳,所以饮食应注意增加食品花样,保证色香味俱全,清淡可口,这样有利于提高食欲。...
医疗动态
2024.02.21
阅读 4304
74岁老人漂洋过海“回家”就医 徐州一院风湿免疫科助其满意康复
超声引导下的关节腔药物注射,可以实时动态观察穿刺针的部位、药物注射情况,将药液直接注射于病变处或靶点处,避免损伤血管和神经,提高注射的精准性、安全性。...
医疗动态
2024.02.21
阅读 4299
徐州一院静疗专科护士“静”心“静”力 为重症患者搭建特殊“生命线”
徐州市第一人民医院静脉输液治疗小组为长期PICC及输液港置管的门诊患者提供安全、专业的中心静脉导管维护,并为每位患者建立静疗维护档案,方便了患者,提高了满意度。...
护理动态
2024.02.20
阅读 5364
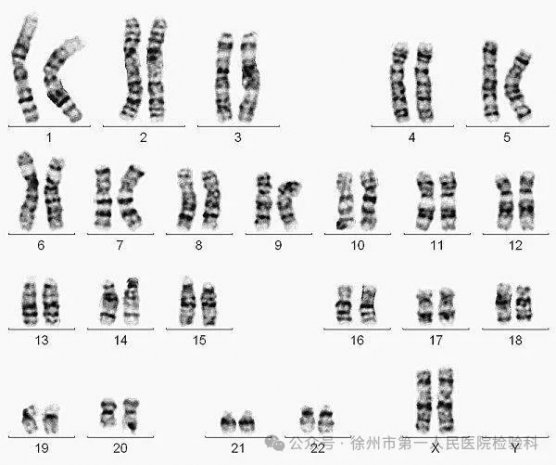
徐州一院检验科:关于染色体核型分析检查,您必须知道的!
当染色体出现异常,就可能引起许多不同的遗传性疾病,影响后代的正常生长发育。 ...
医疗动态
2024.02.20
阅读 5990
春节话健康 | 糖友如何通过饮食控糖?
即主食三小拳,蔬菜一两捧,蛋白一两掌,油脂三调羹,水果给一拳。建议进餐先后顺序为蔬菜、蛋白类食物、主食。...
医疗动态
2024.02.18
阅读 4429
春节话健康 | 添加甜味剂的无糖饮料可以畅饮吗?专家:勿过量饮用
专家表示:即便是含有甜味剂的无糖饮品,也不建议过量饮用。...
医疗动态
2024.02.17
阅读 4225
春节话健康 | 新春佳节,如何保护心脑血管健康?
血脂、血压、血糖等有过波动的,要对指标进行监测,尤其在气温出现较大波动时,更要做好各项指标的监测。...
医疗动态
2024.02.16
阅读 4232
首页
上一页
7
8
9
10
11
12
13
下一页
末页
返回 · 医疗护理
预约挂号
就诊流程
交通指南
微信服务
返回顶部